
Planujesz leczenie stomatologiczne, implantologiczne lub ortodontyczne? Tomografia CBCT 3D to badanie, które zapewne zleci Twój lekarz, aby uzyskać dokładny obraz Twoich struktur anatomicznych. Wybierz placówkę ESDENT w Poznaniu i skorzystaj z naszych usług.
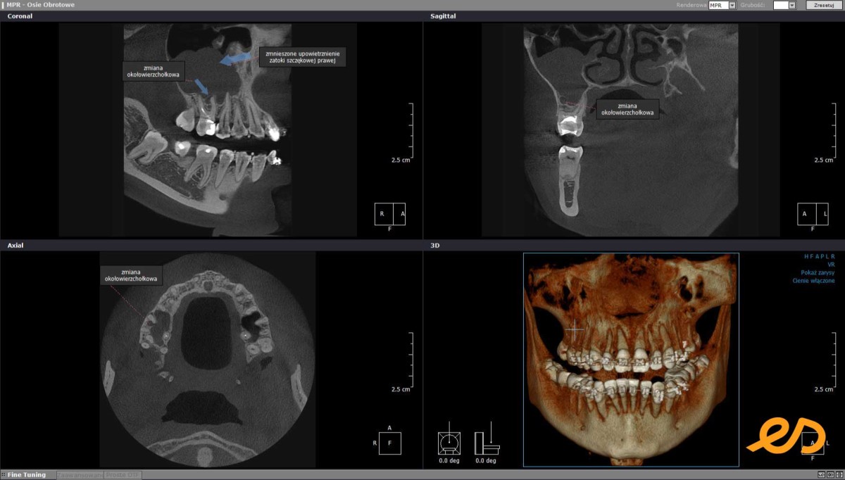
CBCT, czyli tomografia komputerowa wiązki stożkowej, to innowacyjne badanie radiologiczne wykorzystujące promieniowanie rentgenowskie do uzyskania szczegółowych, trójwymiarowych obrazów struktur anatomicznych. Technika ta pozwala na niezwykle dokładną ocenę zarówno elementów kostnych, jak i tkanek miękkich, co sprawia, że jest szeroko stosowana w różnych dziedzinach medycyny, zwłaszcza w stomatologii, ortodoncji, chirurgii szczękowo-twarzowej oraz diagnostyce radiologicznej.
Pon-Pt 9:00-19:00
Pon-Pt 9:00-19:00
Pon-Pt 9:00-19:00

Tomografia CBCT jest wykonywana w pozycji stojącej. Następnie głowa pacjenta jest ustawiana w stabilnej pozycji, co zapewnia precyzję obrazowania. Ważne, aby w trakcie skanowania pozostać nieruchomym, dlatego że wszelkie ruchy mogą wpłynąć na jakość uzyskanego obrazu. Podczas badania aparat emituje wiązkę promieniowania rentgenowskiego, co pozwala na uzyskanie szczegółowych obrazów struktur kostnych oraz tkanek miękkich. Proces ten trwa bardzo krótko – zazwyczaj nie dłużej niż kilka sekund.

Przygotowanie do tomografii stożkowej CBCT jest bardzo proste i nie wymaga skomplikowanych procedur. Przed przystąpieniem do badania pacjent powinien usunąć wszelkie metalowe przedmioty, które mogą zakłócić jakość uzyskanego obrazu. Należy zdjąć biżuterię, kolczyki, spinki do włosów, protezy dentystyczne, okulary, a także inne akcesoria zawierające metal, takie jak aparaty ortodontyczne ruchome czy wsuwki.
