
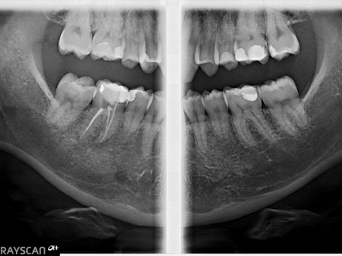
RTG skrzydłowo-zgryzowe to szybkie, bezbolesne i precyzyjne badanie, które pozwala wykryć próchnicę w trudno dostępnych miejscach. Obejmuje obie strony jamy ustnej, co pozwala na analizę symetrycznych struktur zgryzu. Dodatkowo znajduje zastosowanie w ocenie poziomu kości wyrostka zębodołowego, wspomagając diagnostykę chorób przyzębia.
RTG skrzydłowo-zgryzowe prawe i lewe to specjalistyczne badanie rentgenowskie, które umożliwia jednoczesną ocenę koron zębów górnych i dolnych. Dzięki niemu można dokładnie przeanalizować stan uzębienia oraz wykryć ewentualne zmiany np. próchnicę, zwłaszcza w miejscach trudnych do zdiagnozowania podczas standardowego badania stomatologicznego. Zdjęcie to jest często stosowane w profilaktyce i diagnostyce stomatologicznej, pomagając w wykrywaniu niewidocznych gołym okiem problemów w obrębie jamy ustnej.
Pon-Pt 9:00-19:00
Pon-Pt 9:00-19:00
Pon-Pt 9:00-19:00

Przygotowanie do prześwietlenia koron zębów górnych i dolnych jest bardzo proste. Przed wykonaniem zdjęcia zaleca się, aby pacjent usunął wszelkie metalowe przedmioty znajdujące się w okolicach głowy, takie jak biżuteria, okulary, spinki do włosów, a także inne akcesoria, które mogą zakłócić jakość uzyskiwanego obrazu rentgenowskiego. Ponadto przed badaniem nie ma konieczności stosowania żadnej specjalnej diety ani modyfikacji w zakresie przyjmowania leków.

Skrzydłowo-zgryzowe L i P
100 zł
Pon-Pt 9:00-19:00
Pon-Pt 9:00-19:00
Pon-Pt 9:00-19:00
