CBCT tomografia wiązki stożkowej - dlaczego jest niezbędna w nowoczesnej stomatologii

O zaletach nowoczesnej diagnostyki rozmawiamy z lek. dent. Joanną Jaskuła-Przybylską, specjalistą ortodontą, właścicielką gabinetu myORTHO w Poznaniu.

lek. dent. Joanna Jaskuła-Przybylska
lek. dent. Joanna Jaskuła-Przybylska

Od kiedy korzysta Pani z możliwości wykorzystywania tomografii stożkowej w stomatologii?

Jako dentyści nieustannie podnosimy swoje kwalifikacje uczestnicząc w licznych kursach i szkoleniach. Wiele lat temu jeden z zagranicznych wykładowców podkreślił jak wzrosła jego zdolność diagnostyczna odkąd rutynowo - zamiast klasycznych pantomogramów - analizuje zdjęcia 3D uzyskane dzięki CBCT. Chcąc uzyskać jak najwięcej informacji z badania obrazowego również zaczęłam coraz częściej zlecać wykonanie tomografii stożkowej. Dla mnie widzieć znaczy wiedzieć, a nie widzieć znaczy zgadywać. Nie chcemy przecież snuć domysłów na temat ludzkiego zdrowia. Zatem jeśli chcę wiedzieć i poprawnie zdiagnozować dany przypadek, konieczne jest wykonanie badania CBCT.

Dlaczego zdjęcie CT w leczeniu ortodontycznym też jest ważne?

W każdym leczeniu najważniejsza jest dokładna diagnostyka. W ortodoncji CBCT pozwala nam uzyskać wielokrotnie więcej informacji niż przeglądowy pantomogram. Precyzyjna lokalizacja zębów zatrzymanych w wymiarze przedsionkowo-językowym jest możliwa jedynie dzięki obrazowaniu trójwymiarowemu. Podobnie jeśli chodzi o analizę kortykacji wyrostków kłykciowych żuchwy, ich pozycję w dołach stawowych czy morfologię wyrostków zębodołowych.
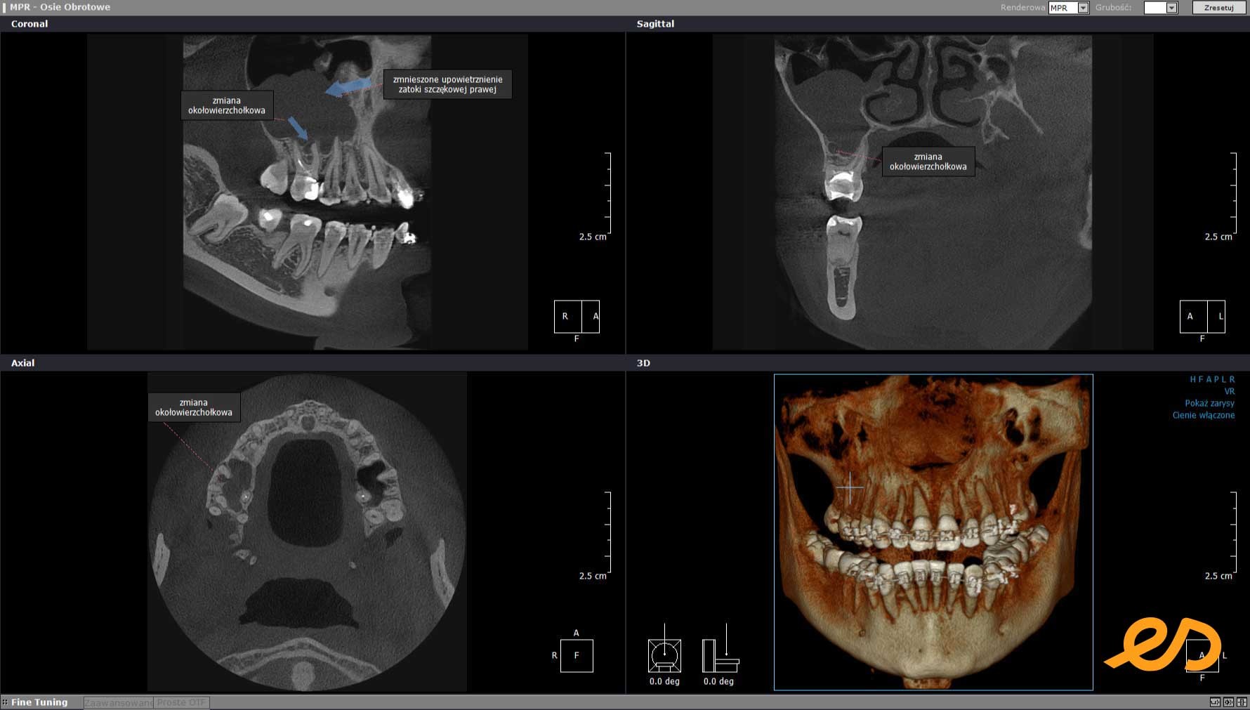
Przykładowo, poniżej badanie TK pacjenta z aparatem ortodontycznym. Pomimo powstających artefaktów, doskonale widzimy stan zębów, wypełnień i okolicznych tkanek. Przy zębie szóstym po prawej stronie w szczęce z niedopełnionym kanałem korzeniowym jest zmiana okołowierzchołkowa. Co więcej widoczne jest zmniejszone upowietrznienie prawej zatoki szczękowej wskazujące na toczący się w niej stan zapalny.
badanie tomograficzme cbct stan zapalny zatoki 1744197277

Co może Pani ocenić na tomografii zębów?

CBCT tomografia wiązki stożkowej - dlaczego jest niezbędna w nowoczesnej stomatologii O zaletach nowoczesnej diagnostyki rozmawiamy z lek. dent. Joanną Jaskuła-Przybylską, specjalistą ortodontą, właścicielką gabinetu myORTHO w Poznaniu. lekarz dentysta Joanna Jaskuła-Przybylska lek. dent. Joanna Jaskuła-Przybylska Od kiedy korzysta Pani z możliwości wykorzystywania tomografii stożkowej w stomatologii?Jako dentyści nieustannie podnosimy swoje kwalifikacje uczestnicząc w licznych kursach i szkoleniach. Wiele lat temu jeden z zagranicznych wykładowców podkreślił jak wzrosła jego zdolność diagnostyczna odkąd rutynowo - zamiast klasycznych pantomogramów - analizuje zdjęcia 3D uzyskane dzięki CBCT. Chcąc uzyskać jak najwięcej informacji z badania obrazowego również zaczęłam coraz częściej zlecać wykonanie tomografii stożkowej. Dla mnie widzieć znaczy wiedzieć, a nie widzieć znaczy zgadywać. Nie chcemy przecież snuć domysłów na temat ludzkiego zdrowia. Zatem jeśli chcę wiedzieć i poprawnie zdiagnozować dany przypadek, konieczne jest wykonanie badania CBCT.Dlaczego zdjęcie CT w leczeniu ortodontycznym też jest ważne?W każdym leczeniu najważniejsza jest dokładna diagnostyka. W ortodoncji CBCT pozwala nam uzyskać wielokrotnie więcej informacji niż przeglądowy pantomogram. Precyzyjna lokalizacja zębów zatrzymanych w wymiarze przedsionkowo-językowym jest możliwa jedynie dzięki obrazowaniu trójwymiarowemu. Podobnie jeśli chodzi o analizę kortykacji wyrostków kłykciowych żuchwy, ich pozycję w dołach stawowych czy morfologię wyrostków zębodołowych.Przykładowo, poniżej badanie TK pacjenta z aparatem ortodontycznym. Pomimo powstających artefaktów, doskonale widzimy stan zębów, wypełnień i okolicznych tkanek. Przy zębie szóstym po prawej stronie w szczęce z niedopełnionym kanałem korzeniowym jest zmiana okołowierzchołkowa. Co więcej widoczne jest zmniejszone upowietrznienie prawej zatoki szczękowej wskazujące na toczący się w niej stan zapalny.Zrzut ekranu programu do przeglądania zdjęć tomograficznych pokazujący stan zapalny zatokiCo może Pani ocenić na tomografii zębów?Wiele więcej niż na zwykłym przeglądowym zdjęciu pantomograficznym 2D. Uzyskujemy informację o brakującym nam trzecim wymiarze. Zdjęcie tomograficzne pozwala dokładnie zobrazować np. ustawienie zębów w kości wyrostka zębodołowego, zęby zatrzymane, liczbę i anatomię kanałów przy leczeniu endodontycznym, ewentualne zmiany okołowierzchołkowe oraz inne zmiany tkanki kostnej jak zmiany nowotworowe, torbiele. Pozwala także ocenić kostne struktury stawów skroniowo-żuchwowych - tak ważne przy leczeniu ortodontycznym. Poniżej obraz diagnostyczny zatrzymanych dolnych ósemek. Uzyskujemy widok w trzech płaszczyznach: strzałkowej, czołowej i poprzecznej, dzięki czemu dokładnie widzimy jak ułożony jest ząb i jak przebiega kanał nerwu żuchwowego.
program tomografia cbct zab zatrzymany 1744197342

Czego wymaga Pani od pracowni tomograficznej?

Podstawa to nowoczesny sprzęt zapewniający badania o doskonałej jakości obrazu. W aspekcie ochrony radiologicznej bardzo ważna jest możliwie jak najmniejsza dawka promieniowania przyjmowana przez pacjenta podczas prześwietlenia. Zawsze powinniśmy starać się zredukować ilość przyjętego promieniowania, nawet kiedy jest ono tak małe jak przy tomografii stożkowej. Dobra komunikacja z pracownią pozwala natomiast zindywidualizować charakter obrazowania do potrzeb lekarza.

Jak zachęciłaby Pani innych lekarzy do wysyłania pacjentów na badania tomograficzne?

Im dokładniejsza diagnostyka tym pełniejsze rozpoznanie. Posiadając badanie CBCT możemy poprawnie zdiagnozować trudne przypadki, uniknąć niespodzianek i właściwie zaplanować zabieg. Nikt nie chce natknąć się na trudności, które można było przewidzieć przed zabiegiem. Polecam również nie obawiać się trudności związanych z obsługą programu do przeglądania zdjęć DICOM. Po krótkim treningu staje się to tak naturalne jak oglądanie pantomogramów. Myślę, że już niedługo standardem w stomatologii w diagnostyce obrazowej tkanek twardych stanie się obrazowanie 3D dzięki tomografii stożkowej! Kto wdroży się w trójwymiarową diagnostykę nigdy nie będzie już usatysfakcjonowany jedynie obrazami 2D.